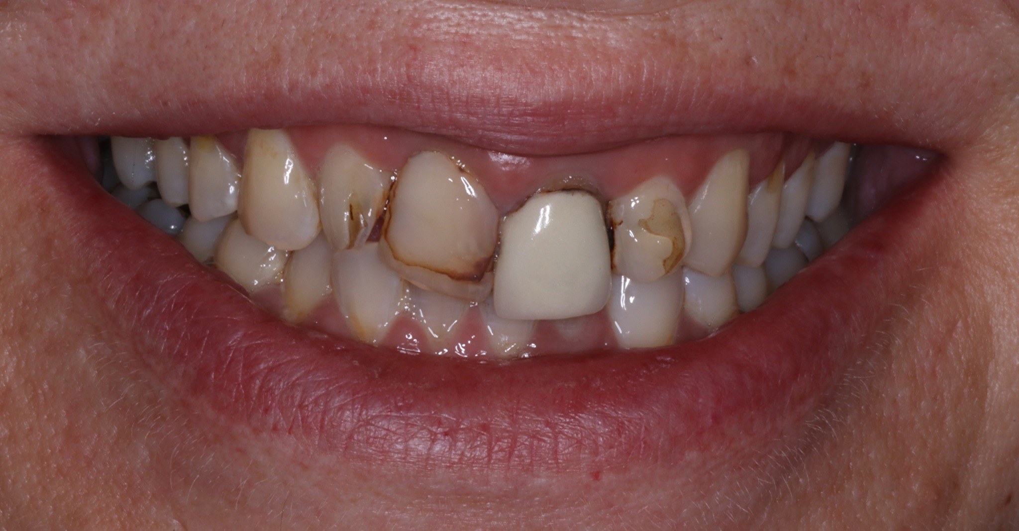
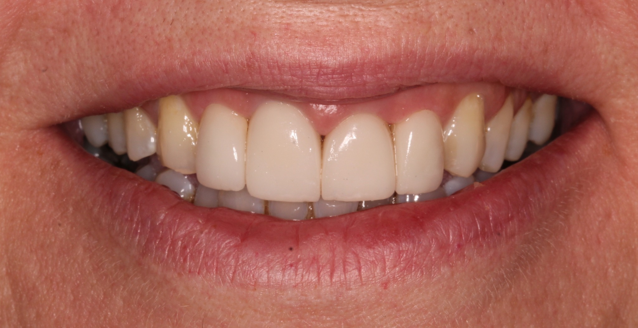
Before and after image gallery
Explore our gallery to see the possibilities for your own smile.

GALLERY
Every smile tells a story
At Sutton Dental, we believe every smile tells a unique story. From a child's first tooth to full smile transformations, our dedicated team is here to support you at every stage of your dental journey. Our Smile Gallery features real patients and their remarkable transformations.
Membership
Oral Assessment
Dental Hygiene
Invisalign
Teeth Whitening
Composite Bonding
Looking for a dentist near Hull to improve your smile?
Sutton Dental could help you smile with confidence again.

Drag

Drag

Drag

Drag

Drag

Drag

Drag

Drag

Drag
OUR MEMBERS
Happy, healthy members
Our memberships have been designed to help you manage the cost of routine dental care over the course of the year, whilst also planning the best path to long-term oral wellbeing through working together. Guaranteeing registration with your named dentist, membership also includes other benefits such as same day serious emergency appointments and up to 25% off treatment fees.
Just recently visited Anna the hygenist and I can say a very positive experience.
Made me feel at ease after explaining the treatment. Teeth feel great after a clean and only need to return once a year, highly recommend.
GEORGE WILKINSON
I have been going to this dentist for a very long time. Oliver & his staff are always so friendly & make you feel at ease.Oliver recently put a crown on my tooth which looks realy lovely, felt great straight away. The other day I had a tooth pulled Oliver & his assistant Olivia made me feel at ease .Would give them all more than five stars if I could, fantastic dentist.
MAUREEN HARDEY
I absolutely love Hannah! She is the only dentist I will only trust and she is so patient with me as I get super anxious. Recently had an extraction and Hannah and the fabulous Leanne (I think) dental nurse were super kind.
ELIZABETH HUGHES
